Biotage Isolera Flash One ISO-1SV快速制备过柱机
Biotage Isolera Flash 快速制备过柱机 Isolera-One可以通过梯度优化功能,可实现节省60%的溶剂成本,梯……...

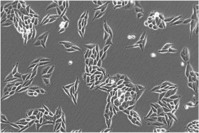
明美MSHOT MIX60倒置显微镜
倒置显微镜MIX60是一款研究级生物显微镜,成像高性能,使用智能化,观察细节清晰,像场平坦无场曲,超长工作距离聚光镜,支持明场和相差观察,可升级拓展荧光观察;配备OLED数显屏幕和语音播报功能,实时显示光强和物镜倍率。
产品优势
支持多个倍率相差观察,透明样本清晰展现

聚光镜配备推拉式切换相衬插板,可搭配多个相差物镜实现不同倍率的相衬观察,清晰呈现活细胞样品的形态细节。
灵活适配不同培养容器,满足多样性需求

万用样品夹可适配多孔板和培养瓶等常见培养容器,搭配可翻转设计,也可满足特大培养瓶等容器;同时载物台可扩展到351mm×251mm。
数智化模块,设计更贴心

·ECO人走灯灭功能 新型传感器,可设置一定时间内无人使用后自动关闭光源,实现人走灯灭、人来灯亮的功能,省电且延长光源寿命。
·直观LED数显屏 机身自带OLED屏幕,在上方直观呈现当前物镜倍数与光强指数,也可进行语音播报,方便选择物镜倍数。
规格参数
主机架:无限远校正光学系统,机身带ECO人走灯灭功能,可机身取电
目镜:
SWF10X/22平场目镜,高眼点,一个屈光度可调
SWF10X/23平场目镜,高眼点,屈光度可调(选配)
对中望远镜
目镜筒:倾角45°,瞳距50-75mm,机身分光比=100:0或0:100
物镜转换器:五孔编码内定位转换器,滚珠轴承内定位,有防霉装置,有亮度记忆功能
载物台:
固定载物台尺寸:267.4mm×271.4mm
XY载物台移动尺,机械式移动,移动范围:110mm×75mm
带载物台扩展板
万用样品夹:可匹配玻片,不同培养皿尺寸
滴水板:圆形透明滴水板:φ118mm
聚光镜:
数值孔径N.A.:0.3,工作距离WD:72mm
可拆卸式聚光镜,载物台上可放置容器高度≥19cm
相差环板:10X相差环1个、20X/40X相差环共用1个
调焦机构:粗微调同轴,配有限位装置和锁紧装置,低手位同轴调焦手轮,微调手轮格值2μm
照明系统:
3W全光谱白光LED,亮度连续可调
过滤器支架可插入φ34mm滤色片(蓝、绿、黄等),可拆卸
带孔径光阑,光圈叶片,可手动控制开关
数显屏幕:显示当前工作状态,包括ECO,语音功能,物镜倍数与亮度大小等,可进行语音播报当前物镜倍数
物镜:
(按需搭配)(可选)长工作距离平场消色差物镜4×/10×/20×/40×
(可选)长工作距离平场相衬物镜4×/10×/20×/40×
Biotage Isolera Flash 快速制备过柱机 Isolera-One可以通过梯度优化功能,可实现节省60%的溶剂成本,梯……...
Kinematica Polytron PT2500E适用于实验室分散设备 时尚、隔音的外壳隐藏了足够的动力,可以安全快速地……...
明美MSHOT HM-STORM超分辨荧光显微镜 HM-STORM超分辨荧光显微镜是明美基于国家重大科研仪器研制项目成果……...
明美MSHOT MZX81体视荧光显微镜 采用优异的无限远平行光路系统,LED荧光双光路照明设计,性能优越,是应……...
EVOLUTE EXPRESS ABN Advanced Polymeric SPE for Acidic, Basic and Neutral Analytes EVOLUTE EXPRESS……...
Kinematica Polytron PT6100D强大的立式分散器(高端系列)灵活的分散器,带 CH 电源线、PC 软件、RS-232 ……...
Biotage Rening Flash 中压制备色谱柱 使用简单、性价比高 Biotage全新一代国产Flash色谱柱现已上市,欢迎垂询! Biotage Rening 快速制备色谱柱优于现有国内的工业标准,它将原汁原味的瑞典制造带入国内,质量优秀……
OHAUS MB120 智能水分分析仪 水分测试从未如此简单和高效! 作为奥豪斯的旗舰产品,MB120快速水分仪配备了智能化方法开发功能,快速处理各种样品的常规和复杂测试且与烘箱数据保持同步。 MB120 水分分析仪 特征 &n……
PHYWE教育愿景:以实验为关键 全民教育:在一个充满多样性的世界中,必须承认每个人, 无论他们的背景如何,都应该有机会学习。PHYWE Systeme 倡导普及教育事业。 公司认识到潜力是普遍分布的,但机会不是,因此……